
Contact Us
Great things in business are never done one. They're done by a team of people.
Great things in business are never done one. They're done by a team of people.
Discover The Grange Dental Surgery, a family-run dental haven founded by Dr. Mandeep. Our practice blends precision, affordability, and care. With experienced general dentist with special interest in dental implants, we stand out in innovation and prioritize patients in every step. Built with a mission to address a lack of care in the community, The Grange Dental Surgery is your destination for quality dental services. Join us on a journey where expertise meets compassion, ensuring your dental experience is painless, friendly, and tailored just for you.









Our dentists have extensive experience and training in implant dentistry, offering a wide range of implant solutions to restore your smile and function. We are a family-run practice with a strong sense of community. We take pride in building personal relationships with our patients and providing a personalized approach to care.
Implantology at The Grange Dental Surgery is precision meets compassion. Led by Dr. Mandeep, our skilled doctors seamlessly restore function and aesthetics. Painless and accurate, our procedures redefine excellence. Beyond replacing teeth, it's about enhancing your confidence and quality of life. Trust our family-run practice for an implant experience that prioritizes your smile and well-being.
Dentures play a crucial role in restoring your smile and oral function when you’ve lost teeth. However, there are two main types of dentures to consider: fixed and removable.
Fixed dentures, also known as dental bridges or implant-supported dentures, are permanently attached to dental implants or natural teeth. They provide a stable and secure fit, allowing you to eat, speak, and smile without worry.
Removable dentures, on the other hand, can be taken out for cleaning and maintenance. They are a more affordable option but may require some adjustment to get used to.
We will help you determine the best type of denture for your individual needs and preferences, considering factors like your lifestyle, budget, and oral health to make an informed decision.
At The Grange, we understand that missing teeth can have a significant impact on your self-confidence and oral health. That’s why we offer a range of implant solutions to restore your smile and function.
Single implants are used to replace individual missing teeth, while multiple implants are used to replace several missing teeth or to support a denture or bridge.
Both single and multiple implants offer the benefits of natural-looking and feeling replacement teeth, improved oral function and chewing ability, preservation of bone structure, and enhanced self-confidence.
If you’re considering dental implants, our experienced team at The Grange is here to help. Contact us today to schedule a consultation.
Dentures play a crucial role in restoring your smile and oral function when you’ve lost teeth. However, there are two main types of dentures to consider: fixed and removable.
Fixed dentures, also known as dental bridges or implant-supported dentures, are permanently attached to dental implants or natural teeth. They provide a stable and secure fit, allowing you to eat, speak, and smile without worry.
Removable dentures, on the other hand, can be taken out for cleaning and maintenance. They are a more affordable option but may require some adjustment to get used to.
We will help you determine the best type of denture for your individual needs and preferences, considering factors like your lifestyle, budget, and oral health to make an informed decision.
At The Grange, we understand that missing teeth can have a significant impact on your self-confidence and oral health. That’s why we offer a range of implant solutions to restore your smile and function.
Single implants are used to replace individual missing teeth, while multiple implants are used to replace several missing teeth or to support a denture or bridge.
Both single and multiple implants offer the benefits of natural-looking and feeling replacement teeth, improved oral function and chewing ability, preservation of bone structure, and enhanced self-confidence.
If you’re considering dental implants, our experienced team at The Grange is here to help. Contact us today to schedule a consultation.
At The Grange Dental Surgery, we understand that dental phobias are real and can prevent you from achieving a healthy smile. We're here to help you overcome your fears and reclaim your oral health.
Step into the future of precision with Guided Implantology at our practice. This cutting-edge technique involves meticulous planning using advanced imaging technology to create a customized surgical guide. Guided Implantology ensures the precise placement of implants, optimizing accuracy and minimizing discomfort.
The process begins with a detailed digital analysis, allowing for a virtual walkthrough of the procedure. This level of precision enhances the success and longevity of implant treatments, providing patients with a tailored and efficient experience.
At our clinic, Guided Implantology reflects our commitment to utilizing the latest advancements to offer you the best in dental care, ensuring optimal results with minimal disruption to your daily life.
Embark on a journey of comfort and efficiency with our Flapless Technique in implant dentistry.
This innovative approach eliminates the need for traditional surgical flaps, resulting in a minimally invasive procedure. By avoiding incisions, patients experience reduced discomfort, quicker healing times, and minimal post-operative swelling.
The Flapless Technique showcases our commitment to utilizing the latest advancements in implant dentistry to enhance the patient experience. This approach, coupled with precision planning, ensures a streamlined process with optimal results.
Choose our practice for implant procedures that prioritize your comfort, combining expertise with technology to redefine the standards of dental care.
Your comfort is our priority, and that’s why we offer sedation dentistry—a gentle solution for anxiety-free dental experiences.
We understand that dental visits can be overwhelming, and our empathetic team is here to ensure your peace of mind. With sedation options tailored to your needs, we create a serene atmosphere, allowing you to relax throughout your procedure. Whether it’s nitrous oxide, oral sedation, or IV sedation, our goal is to make every visit a calm and reassuring experience.
Say goodbye to dental anxiety and embrace a new era of tranquility at our practice, where your emotional well-being is as important as your dental health.
Step into the future of precision with Guided Implantology at our practice. This cutting-edge technique involves meticulous planning using advanced imaging technology to create a customized surgical guide. Guided Implantology ensures the precise placement of implants, optimizing accuracy and minimizing discomfort.
The process begins with a detailed digital analysis, allowing for a virtual walkthrough of the procedure. This level of precision enhances the success and longevity of implant treatments, providing patients with a tailored and efficient experience.
At our clinic, Guided Implantology reflects our commitment to utilizing the latest advancements to offer you the best in dental care, ensuring optimal results with minimal disruption to your daily life.
Embark on a journey of comfort and efficiency with our Flapless Technique in implant dentistry.
This innovative approach eliminates the need for traditional surgical flaps, resulting in a minimally invasive procedure. By avoiding incisions, patients experience reduced discomfort, quicker healing times, and minimal post-operative swelling.
The Flapless Technique showcases our commitment to utilizing the latest advancements in implant dentistry to enhance the patient experience. This approach, coupled with precision planning, ensures a streamlined process with optimal results.
Choose our practice for implant procedures that prioritize your comfort, combining expertise with technology to redefine the standards of dental care.
Your comfort is our priority, and that’s why we offer sedation dentistry—a gentle solution for anxiety-free dental experiences.
We understand that dental visits can be overwhelming, and our empathetic team is here to ensure your peace of mind. With sedation options tailored to your needs, we create a serene atmosphere, allowing you to relax throughout your procedure. Whether it’s nitrous oxide, oral sedation, or IV sedation, our goal is to make every visit a calm and reassuring experience.
Say goodbye to dental anxiety and embrace a new era of tranquility at our practice, where your emotional well-being is as important as your dental health.
Painless and accurate, our procedures redefine excellence. Beyond replacing teeth, it's about enhancing your confidence and quality of life. Trust our family-run practice for an implant experience that prioritizes your smile and well-being.
Ever wondered about unlocking the potential of your smile? Explore our advanced Bone Regeneration techniques. When the foundation is weakened, we specialize in rebuilding and reinforcing bone structure for successful implant placement.
Our meticulous approach involves the use of cutting-edge materials and technologies to stimulate natural bone growth. From sinus lifts to ridge augmentation, we tailor solutions to your unique needs. This commitment to comprehensive care ensures a solid foundation for your dental health, giving you the confidence to smile freely.
Choose our practice for transformative Bone Regeneration treatments that go beyond restoring teeth – they rebuild the strength and resilience of your entire oral structure.
Ever wondered how dental implants can restore your smile even when you’ve lost bone in your upper jaw?
A sinus lift, also known as sinus augmentation, is a surgical procedure that creates more bone density in the upper jaw, specifically in the area behind your cheekbones. This additional bone support is crucial for successful dental implant placement, particularly when bone loss has occurred due to periodontal disease, tooth loss, or natural aging.
During the procedure, a small opening is made in the gum tissue, and the sinus membrane, which lines the sinus cavity, is gently lifted. Bone graft material is then inserted into the space created, allowing new bone to form over time. Once the bone has healed, dental implants can be placed, providing a stable foundation for a new set of teeth.
If you’re considering dental implants but are concerned about bone loss, a sinus lift may be the perfect solution to restore your smile and confidence.
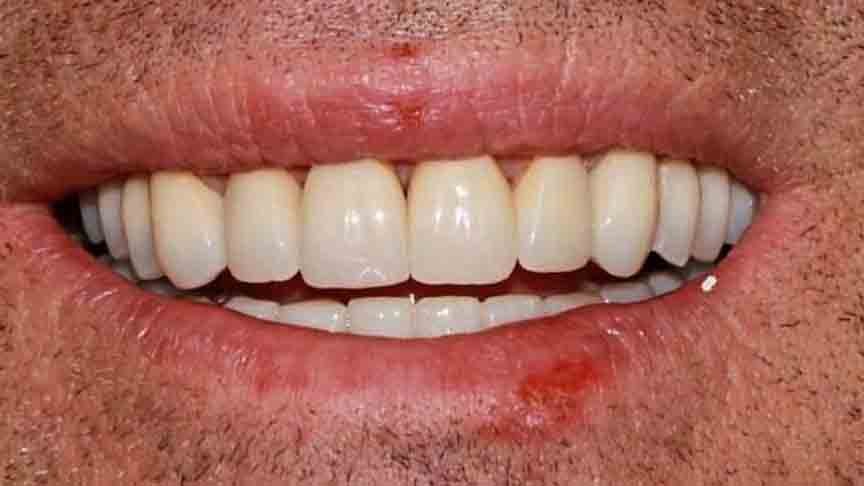
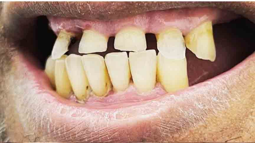
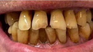
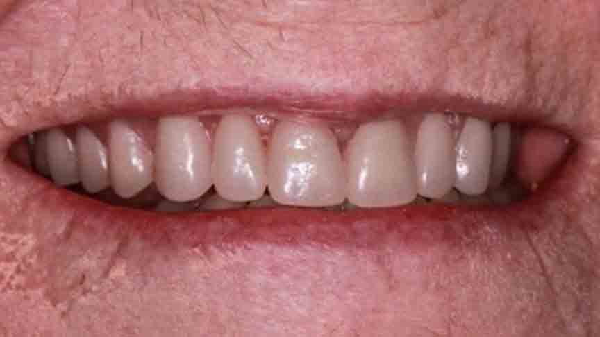
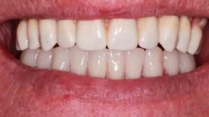
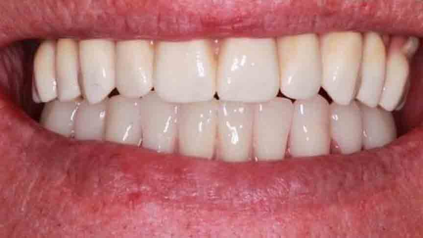
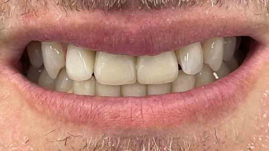
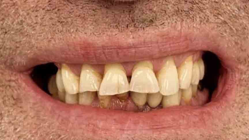
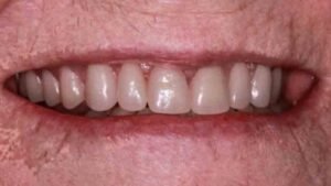
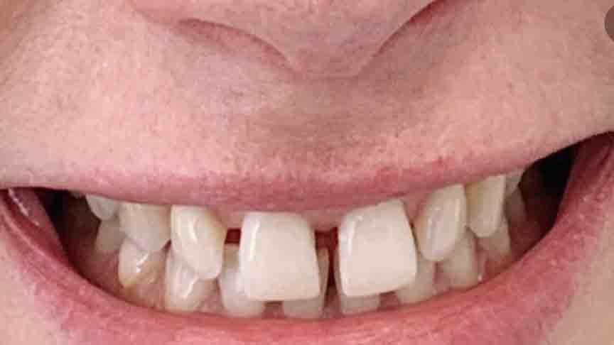
Explore a gallery of transformative smiles and remarkable dental journeys in our cases showcase.
Before
After
Our process applies techniques from a variety of disciplines, values distinction in detail
Our process applies techniques from a variety of disciplines, values distinction in detail
Before
After
Our process applies techniques from a variety of disciplines, values distinction in detail
Our process applies techniques from a variety of disciplines, values distinction in detail
Before
After
Before
After
Before
After
Before
After
Before
After
Before
After
Dental emergencies can be overwhelming, but at The Grange Dental Surgery, we provide expert and compassionate care 24/7. Our experienced dentists handle a wide range of emergencies, from toothaches to injuries. We use advanced technology and techniques to ensure you receive the best possible care.
Don't hesitate to reach out to The Grange Dental Surgery in times of dental distress, we're here for you, every step of the way.
Restore your teeth to their natural beauty and function with our conservative dentistry techniques. We use composite resin fillings, which are durable, tooth-colored, and blend seamlessly with your natural teeth.
Maintain a healthy smile with regular dental checkups, cleanings, and preventive care at The Grange. Our experienced hygienists will help you develop proper oral hygiene habits to prevent cavities, gum disease, and other dental problems.
If tooth extraction is necessary, our experienced oral surgeons will perform the procedure with the utmost care and precision. We offer various sedation options to ensure your comfort throughout the procedure.
Replace missing teeth with natural-looking and comfortable removable prosthetics, including dentures and partial dentures. Our team will work with you to create a customized solution that meets your individual needs.
Achieve a brighter, more radiant smile with our professional home teeth whitening kits. Our safe and effective whitening solutions will help you remove stains and discoloration for a dazzling smile.
Enhance the appearance of your teeth with composite bonding, a minimally invasive cosmetic procedure that can repair chips, cracks, and gaps. Our skilled dentists will use composite resin to create a natural-looking result.
(design on Cad-Cam)
Transform your smile with our custom-made dental veneers. Our digital smile design technology allows us to create a smile that is tailored to your unique facial features and desired aesthetic.
Our commitment is to provide exceptional care tailored to your unique needs.
We look forward to the opportunity to support your dental well-being.
Utilizing cutting-edge dental technology, the practice ensures efficient and precise treatments. From digital X-rays to intraoral cameras, Snettisham Dental Care prioritizes staying at the forefront of dental advancements.
Cone Beam Computed Tomography: itprovides a 3D view of oral structures, aiding precise diagnosis and treatment planning. It also minimizes radiation exposure, offering detailed images crucial for implant placement and complex procedures.
Digital X-rays offer quick and low-radiation imaging, enhancing diagnostics. They reduce exposure, provide instant results, and contribute to our commitment to safe, efficient, and patient-centric dental care.
Our intraoral scanner captures detailed 3D impressions, replacing traditional molds. It ensures accuracy in restorations, improves patient comfort, and expedites treatment planning for personalized dental care.
Smile design integrates art and science for personalized aesthetic transformations. Using digital tools, we collaboratively plan treatments, ensuring your smile reflects both natural beauty and optimal oral health.
Taking care of your oral health is a task that does not end with regular visits at the dentist. Discover more about how to take care of your smile.
You can easily schedule appointments by calling or writing an email to us. The Grange Dental Care values your time and endeavors to maintain punctual appointment schedules.
Adding {{itemName}} to cart
Added {{itemName}} to cart